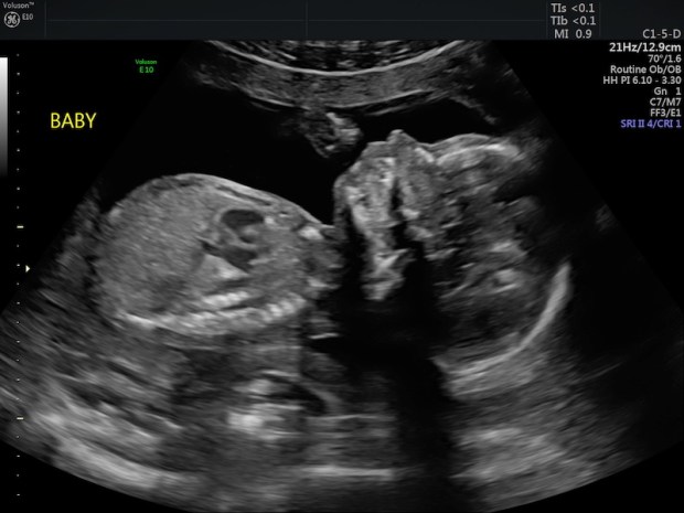
June 28th, 2022
We are officially past the halfway point in the pregnancy. It feels like it’s flying by! At the same time, November also feels eons away. It’s a weird thing! Our anatomy scan went well. Baby boy is doing great and it was so lovely to see him kicking and rolling around!
Second Trimester Notes:
–> I’m often out of breath after walking up stairs or doing simple things like shooting my bow and arrow.
–> I could always go for a nap!
–> Baby has been kicking, but sometimes he doesn’t and it freaks me out.
–> Sleeping is meh. I just want to lay on my stomach and back 😂
–> I pee a million times a day.
–> I just started having nighttime calf cramps and I forgot how wicked those are!
–> Sadie recently rubbed and kissed my belly and said “I love you, please come out and play” to the baby ❤️
–> By the end of the day my belly feels stretched the the limit… and I still have a long ways to go 😆
–> I get teary/weepy pretty easily. Thankfully Jimmy and Sadie are very loving and understanding!
The further I progress in this pregnancy the more I feel the delicate balance between doubts and excitement. The best way for me to process things is to write them out, so here I am to overshare my inner thought life. As usual 😜
Doubts and fears I feel with welcoming a second child:
- I often feel like a “bad mom” to Sadie. Will I feel that doubly with two children?
- Will I bond with my son like I bond with Sadie? Will it be a different bond?
- Our family life feels so busy and crazy sometimes. How are we going to do this with another child in the mix?!
- Will Sadie resent us for upturning her world?
- How will breastfeeding go? How will the birth go?
- How will Jimmy and I find time to dedicate to our relationship?
- Will I ever have a few minutes to myself again for the next few years?
- I’m dreading sleep deprivation again!
- We’re having a baby again. Babies are hard!
Things I’m looking forward to with welcoming a second child:
- We’re having a baby again! I love babies ❤️
- Actually meeting our son. What will his personality be like? What will he look like?
- Seeing the siblings bond with each other.
- Seeing Jimmy bond with his son!
- Being a family of four.
- Seeing Sadie be a big sister.
- Doing sign language to communicate again.
- Doing things differently based on what I’ve learned with Sader Tot.
- Having a son.
I know, there’s a lot going on in my brain! I also know that God has everything under control. He knows how the next 20+ weeks will unfold. He already knows our son because He created him. God has got it all in His capable hands. When my brain starts to swirl with worries and doubts, I remind myself of that. And then I try to take a nap 😉



Here’s to being halfway! You seem like an amazing mom to Sadie and she’s so sweet to the baby 💟
Yay for halfway! Thank you for the sweet compliment about me parenting Sadie. That means so much!! I can’t wait to see her with the baby 🙂
Wow, halfway already! Time really does go quickly.
You seem like such a sweet, kind and thoughtful mom to Sadie, and I’m sure that bond will simply expand when you have your son. I haven’t experienced it, but I imagine that parenting is one of the toughest yet most rewarding jobs in the world. Being responsible for a tiny human is immense, so try not to be too hard on yourself. You and Jimmy have got this! 🙂
I can’t believe it, either! I am excited, but also nervous at how fast it’s going!
Thank you so, so much for the sweet comment about my parenting Sadie. It means the world to me! You hit the nail on the head with parenting being tough but also so rewarding! Thank you so much for the encouragement. I needed that 🙂
Those leg cramps in the night are NO joke!!! I remember the first time one hit, I panicked that I wouldn’t be able to survive labor; because I just couldn’t handle the cramp. Ha, ha! They are HORRIBLE!
So let me just ease your fears for one second here… Yes, adding a second child is hard. It does bring with it the change and beautiful chaos that is the newborn stage. BUT there’s something different about your second child in that – as a mom – you’ve already had the chance to find yourself a bit. You will stress the small stuff a whole lot less! You’ll trust your insticts way more. And balance will be achieved that much faster.
Literally, you will blink, and you won’t remember a time that it was just one child. And it’s not because you love one of them any more or any less. It just all feels right as if your family was MISSING the new baby.
I will say that I love Brady and love Kaitlyn in different ways. Not more or less!! But they are such different personalities that they both bring me such joy and happiness in different ways. Brady has a larger-than-life heart, and he is rough and tumble but also sweet in ways that amaze me. Kaitlyn is passionate and full of fire… but also a sweet princess. And they both – in different ways – fill me as a mom, teach me, make me laugh… and complete me too.
It’s amazing to me, but I just can’t imagine my little family without Kaitlyn in it.
Also don’t forget that it’s okay to ask for and to accept help. 🙂 Sometimes a trip alone to Target for a coffee and some browsing is just the 30 minutes or so a mama needs to regroup. Hot baths, a little walk, and even a trip to the library can be self-care. It’s okay to make time for those moments, even when there’s a baby and a toddler in the house! 🙂
You are going to do AMAZING!!!
Hahaha about the leg cramps! They are so unfair because they wake you up at night in a total panic! Like what is going on right now?!
Ahh, your comment was EVERYTHING I needed to hear! I made my mom read it too and she was like “Wow, you have an amazing blogging friend” and I was like “Yeah I know :)”
Awww, that just made my day, Allie! I am SO blessed to have met you via the blogging world! 🙂
I’m so emotional reading this! I think it’s really great you wrote out your doubts and things your excited about- it will be cool to come back to them and see how everything played out in the most beautiful way I’m sure ☺️ love reading these posts so much!
Aww, sorry to make you feel emotional!! It felt really good to write everything out… and like you said, look back on how it all came to be! Thanks for reading these posts! I’m glad I’m not the only one enjoying them haha
No need to apologize! I was just emotional as I resonated with much of it, all very fresh in my mind too! 😊 ❤️
Aww, good! I’m glad it was a good emotional haha!
Beautiful! Happy halfway mark. All of your thoughts and worries and excitements are valid. You’re a caring, compassionate, loving mother and wife. That family photo at the end is so joyful!
Thank you, Amy!! And thank you for the validation. It means a lot coming from a mom with two children!!
I love that Sadie is ready for him to come out and play! ❤
I can't personally speak to having two children, but I love Nicole's comment! Well said!
Ahh, me too!! I agree–what Nicole said was so perfect!