Sunday October 13th, 2024
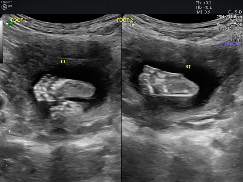
We made it to 20 weeks. What in the world! We had our anatomy scan and praise God, everything was measuring right on track!
This was Jimmy’s first time seeing the baby on an ultrasound and it was so fun to go to an appointment together! We have finally decided on a name(!), so that feels great. Two things of note from the anatomy scan were that she was in the breech (head up) position and my placenta was anterior.
I’m not too worried about the baby being breech at 20 weeks because she has a lot of time and room to flip head-down. And also, if she decides to stay breech? Okay, we’ll deal with that when the time comes! I’m just taking the pregnancy day by day and trusting in God and surrendering full control to Him. Because I’m definitely not the one in control!
The anterior placenta (which means the placenta is in the front instead of back) explains why I wasn’t feeling kicks until just around 20 weeks! I had a feeling that was the case. I’m glad to be feeling kicks now 🙂
I took some notes in my phone about how I’m feeling and here’s what I wrote. At 18 weeks, I wrote that I often forget I’m pregnant and this is still true. My bump isn’t ginormous (yet) and I’m just so busy with the kids, homeschooling, Etsy, and keeping up with our house that I just don’t think abount being pregnant very often.
As of right now, this is the best I’ve felt in the second trimester out of all three pregnancies. I think it’s because of the iron infusion I had just before finding out I was pregnant. During Sadie and Mordecai’s pregnancies, a nap was a requirement every day. That hasn’t been the case this pregnancy, thankfully. God knew just what I needed before starting this journey! Do I still have days where I’m tired? Yeah, but nothing like my past two pregnancies.
Mordecai often points at my belly and says “baby” and even kisses it! I had a moment where I realized Mordecai will meet the baby (uh, duh Allie?!) and I teared up thinking about our current baby meeting the new baby!
I had a midwife appointment around 20 weeks and it was just a simple checkup and all went well! I go back again in a few weeks and will likely schedule my gestational diabetes test and some routine bloodwork.
The biggest pain I’m having is the inguinal hernia I have. I really notice it when I’m standing on my feet for hours at a time (like when I’m working on Etsy orders, lol), but that’s about it. I can’t complain! I have had a great and very normal pregnancy thus far and I’m so, so thankful for that.
Reaching the halfway point always has me reflecting on the upcoming birth. Birth is crazy! You just don’t know how it will go. For me, the biggest thing is just accepting the unknown. Every birth is different and that’s okay! I don’t have any expectations. I just work on trusting God, surrendering, and not fearing the future. Oh, and being excited to, Lord Willing, meet our daughter!
So, that’s the update at 20 weeks. We’re feeling so thankful for baby girl and continue to pray God will sustain her and help her grow and arrive safely in another 20(ish) weeks from now!
November 2024
I was doing really well with not being overly emotional with this pregnancy… and then I wasn’t lol. We had a moment of not really knowing if we could fit another child in our house, but figured out we can. Even so, we’re still very unsettled on whether or not we should move after the baby is born.
We love where we live, but it’s a big struggle for us to drive to our church (which is on the other side of Pittsburgh). Right now, we live close to Jimmy’s workplace, which is such a blessing because we get to see a lot of him and he doesn’t have to sit in Pittsburgh traffic to and from work. If we moved to the other side of town, he would basically go through what we do with driving to and from church, except it would be a daily thing. The pros of moving to the other side of Pittsburgh would be a bigger house, being closer to our church, and closer to my parents and siblings. The cons would be the 45 minute to hour-long drive to and from work for Jimmy.
Of course I’d love to live closer to my family and to our church (and having a third child and not much room for her in our house is a good reason to move), but it would be at the expense of seeing less of Jimmy because he would be adding at least 45 minutes on to his daily commute… both ways. I don’t want to see less of my husband, especially while I’ll be the main caretaker of three kids each day. I want the most family time possible! We have had a lot of back and forth conversations about this issue and have figured out that the answer is that we don’t have an answer.
Here’s a photo of us not knowing what we’re doing with our lives 😂^
Our decision is that right now, we’re going to have the baby and put her in Sadie’s room (when she’s done being in a bassinet in our room) and then decide what life looks like with three kids in our house and what our priority is with driving and commutes and where we live.
I have struggled a lot with this decision, I think because it has been ten years in the making (Jimmy and I moved here ten years ago when we got married!!) and expecting a third child has just changed everything for us. With Sadie and Mordecai, we had the space for them. In our car. In our house. This sweet little one has us rearranging a lot and that’s okay… it’s just emotional to be making big decisions that can completely change our lives and family dynamic.
It’s hard to be expecting a child and to feel unsettled. To not have answers. To not know what life will look like. So, I am giving myself grace for being emotional and also learning more and more and more to trust God. To give Him my concerns, wants, plans, dreams, and just rest in His plan because it’s literally always better than mine.
I had a good cry about feeling guilty that we haven’t done a single thing for this baby. No nursery, no baby registry, nothing. She deserves all the love and preparation that was given to Sadie and Mordecai’s entrance into the world. Just because she’s the third in line doesn’t mean she isn’t as special as a first baby. I know I probably sound like a crazy pregnant woman (I am!) crying over feeling guilty for not being as prepared for this child (who doesn’t know I’m not prepared). What I know is that she’s so loved. I cannot wait to meet her. She has the best older siblings in the world. And we are beginning preparations… just for her! She now has a little baby registry, we’re going to paint her and Sadie’s room, and soon we will buy her a crib.
So that’s where my head has been around 20-23 weeks. Kind of realizing that we’re on the second half of the pregnancy and not as ready as I’d like, though you can never truly be ready for a child! They’re all so different and so is your life as each one comes along and changes your world in the very best way. I am so excited to meet her and I’m thankful for the lessons and trust God is teaching me to place in Him 🤍
Past Updates
Our Family is Growing!
Finding Out About Baby #3
First Ultrasound
First Prenatal Appointment
Telling Sadie
Finding Out the Gender
Starting the Second Trimester





The anatomy scan is so awesome!
Mordecai kissing your belly saying baby is so precious!
Living arrangements will work themselves out, you and God got this!
Love ❤️ You!
Dad
🙂
Thank you so much for your sweet words of wisdom! I love you so much!
May I offer my two cents on the house situation? When I was married my (and indeed the ex’s) daily commute was at least an hour, and frequently an hour and a half due to very heavy traffic (so, 2-3 hours commuting each day). Managing that once a week would have been fine. Doing it five days a week was … not great. I was regularly home only in time to put the girls to bed, especially if work was a bit busy.
Worse, commuting like that is frustrating and maddening. When I got home it usually took me a good 30-60 minutes to cool down and decompress emotionally. I’m sure Jimmy is a much calmer man than me, but nevertheless, a commute like that does take a toll on a person.
Honestly, if I’d had my time again, I’d have moved heaven and earth to find a way to avoid that commute. And – trust me on this – even though you or Jimmy may think you have endless time ahead with your kids, you really don’t (I say as I look at a photo of my girls in their high school uniforms and wonder where the years went). Don’t waste a femtosecond of it.
Aww, Stephen, thank you so much for your words of wisdom! That means a lot to me that you were willing to share such personal stories from your life. Thank you for reminding me at how fast these sweet kids grow, too! Thank you, thank you, thank you!
I have a friend who’s almost at the 20-week mark, and another who just reached 14 weeks (both with their first babies). So interesting to hear about the experiences of pregnancy differ. It truly is a unique journey for every woman and every pregnancy.
Sitting with the unknown is very uncomfortable, I know, especially when it involves big life changes. But you and Jimmy have created such a strong and loving home and household, you will figure out the next steps together. And then you’ll look back and wonder what you were worrying about 🙂
*about how
Yes, isn’t it crazy?! Even between each of my children, I’ve had different pregnancy experiences. I sometimes expect things to be the same and then I’m like wait… this is a different baby and I’m a different age!
YES! The unknown is not comfortable *at all* and I’m learning I really like comfort, which isn’t always a good thing. I am definitely learning lots of life lessons lately haha. You’re so right, we will look back and laugh about me crying over what to do/not do hahah.
This post was so heart-felt and precious! Your blog will mean so much to your children when they’re older, as they can look back and see how loved they are! Sadie already LOVES watching your past vlogs (her little laugh is still the same!).
I’m glad your anatomy scan went so well! Can’t wait to meet her!
Love you!
Madre